Lakshita Vij

Name: Lakshita Vij

Email: lakshitavij@live.com

Skill

Python
CSS3 and HTML
Javascript
PHP
About me

Hi, my name is Lakshita and welcome to my website! I graduated from UCLA in June 2023, with a double major in Cognitive Science and Economics, and a double minor in Computation and Film TV. I am currently working as a computational research assitant at Queens College, NY and as a fundraiser for a charity named Heifer International. The values I aim to live by are curiosity, learning, and creating high social impact, especially in the health sector, by making healthcare more affordable, accessible, and manageable for all.

To achieve this, I am hoping to strengthen my knowledge base in machine learning techniques, and learn more about how to create social impact at scale by going to graduate school!

I am always looking for opportunities to learn, grow, and collaborate, so please do contact me for the same if interested!

Technical Portfolio

A display of some of my key technical projects!

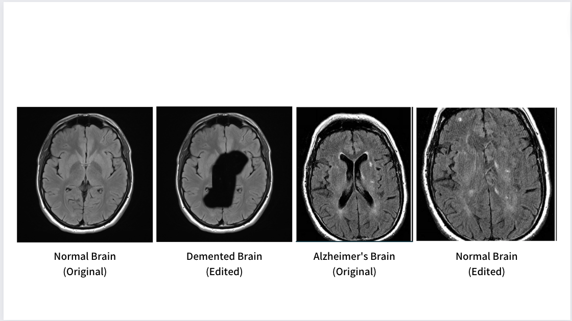
Alzhiemer's MRI Classification

Convolutional Neural Networks, Machine Learning / March 2023

CurioCity

Product Management, Innovation, Web Design / January - June 2022

Markov Chain Models

Behavioral Modeling, Python / September 2023 - Present

Safr

Product Management, Innovation, Figma / December 2021 - January 2022

Mini Projects(Database for fundraising, UX class project, product development class project)

API, Figma, Python /

Spotify playlist feature analysis

Machine Learning, Python / 18 Sep. 2017

Certifications

Learning never stops